最近,一股“牙冠文身”的风潮在年轻人中悄悄蔓延。有人把“暴富”“上岸”刻在牙冠上,有人把偶像名字烧进烤瓷冠里,甚至有人用3D打印技术把星座符号“嵌”进牙齿。
网友戏称这是“咬咬牙就能转运”的玄学,但口腔专家却皱起了眉,这哪是文身?分明是给牙齿“埋雷”!

牙冠文身,到底是什么“黑科技”?
简单来说,牙冠文身不是在你这颗“原装”真牙上直接操作。它主要是在制作假牙冠时,就将图案做到瓷粉里,再进行高温烧结,让图案成为牙冠的一部分。所以,它本质上是对假牙的装饰,而不是文在真牙上!
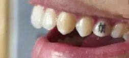
以为网友就在网上晒出一颗牙齿表面刻有一个醒目的黑色“慎”字的照片,并表示在牙冠上刻字“蛮帅的”,初戴时有异物感,但现在安了快一年了,已经逐渐适应了。

“个性牙”可能变成“麻烦制造机”
麻烦1.细菌的“豪华loft公寓”
这是最核心、最致命的风险!文身的图案,尤其是后加工雕刻上色的,会创造出微小的凹陷和缝隙,而日常刷牙、用水牙线,很难彻底清洁到这些微观角落。日积月累,牙菌斑就会在这里安家落户,不仅可能导致牙冠边缘发炎、红肿、出血,还会殃及池鱼,让你佩戴牙冠的那颗基牙(真牙)发生蛀牙!
麻烦2.“保护罩”的破裂危机
无论是烤瓷牙还是全瓷牙,其表面都有一层致密、光滑的釉质层,这是它坚固耐用的关键。如果在表面进行雕刻,就相当于破坏了这层“保护罩”。轻则,导致牙冠的强度下降,更容易崩瓷;重则,微小的裂纹会成为细菌入侵的通道,大幅缩短牙冠的使用寿命。
麻烦3:颜料的“神秘身份”
用于牙冠文身的颜料,其安全性是一个巨大的问号。它们是否具备足够的生物相容性?在潮湿、温暖、充满细菌的口腔环境中,会不会分解出有害物质?这些物质是否会对牙龈、口腔黏膜甚至身体造成长期影响?目前,并没有足够权威的研究和标准来规范这些口腔内使用的装饰性颜料。把不明成分的颜料长期放在嘴里,无异于一场健康“豪赌”。
总之,牙齿不是手机壳,坏了可以换新;牙冠也不是画布,刻上字就能“改运”。真正的“上岸”是守住健康底线,真正的“发财”是省下看牙医的钱。毕竟,一口好牙,才是人生最贵的“奢侈品”。

医生简介:
刘泱,副主任医师,科室副主任,负责本院数字化中心。中共党员,硕士毕业于郑州大学,进修于四川大学华西口腔医院。中华口腔医学修复专业委员会、河南省口腔医学会修复专业委员会会员。从事口腔临床工作十余年,擅长引入数字化的方式解决前牙美学、牙列缺损支架设计及全口义齿等临床常见病的修复和功能重建。发表多篇国家级论文、著作,实用新型专利两项。
郑州口腔
郑州市口腔医院官方正观号
iPhone版
Android版